高端私人订制口腔医保定点单位 服务热线: 0577-88227777

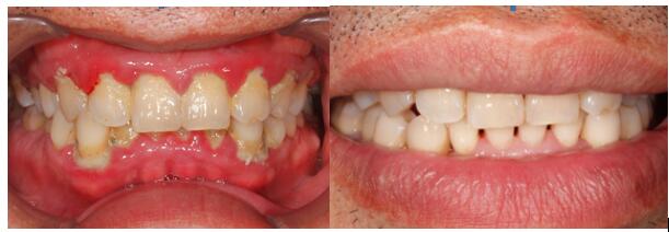
黄先生 全口的牙周治疗

【发布时间:2019-12-08】

  黄先生 ,通过朋友介绍前来给孩子补牙 ,与家长沟通时发现,黄先生牙齿色黄,牙龈红肿,说话时口腔气味大,上火时牙龈会自行流血,并且经常反复,很是苦恼,要求治疗,检查后给出治疗方案,做全口的牙周治疗。治疗前后对比效果如下: