高端私人订制口腔医保定点单位 服务热线: 0577-88227777

范女士 口腔有异味,刷牙出血

【发布时间:2019-12-08】

  44岁的范女士,近1年来患者自觉口腔有异味,刷牙出血。口腔异味已经严重影响到了范女士的日常生活,平时都不敢和别人说话了。原本爱说爱笑的她,现在变得沉默寡言,害怕自己口腔异味让对方感觉不舒服,自己也尴尬。最近,范女士在刷牙的时候还有出血的症状,她想这是不是口腔疾病呢?

  经过详细的检查后,蓝芽口腔的医师发现范女士全口牙龈红肿,龈乳头圆钝,个别牙龈退缩,牙龈探易出血,牙结石,龈下结石,12—22、24—26烤瓷桥修复,21唇侧牙龈轻扪可见脓液溢出,全口牙松动1度。根据检查结果,蓝芽口腔医师为她制定了适合的治疗方案。

  治疗方案:

  1、全口洁治,牙周刮治;

  2、12—22拆除不良修复体重新修复。

  范女士首先需要做全口洁治,左侧上下颌牙齿行必兰局部麻醉,超声洁治,牙周刮治,双氧水与生理盐水交替冲洗,龈沟内置派力奥。做完全口洁治和牙周刮治后,第二天范女士来复诊的时候左侧上下颌牙龈红肿好转(患者自述左侧牙齿刷牙时未再出血),右侧牙龈红肿,探易出血。

  蓝芽口腔医师对范女士的右侧牙龈也做了冲洗和刮治,一周后全口牙龈红肿好转,色粉,质韧,探无出血,21牙龈扪无溢脓。

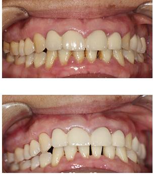
  左侧上下颌牙齿牙周刮治后图片如下:图片如下:

  蓝芽口腔专家提醒大家,日常生活中一旦发现牙龈出血,就要及时看口腔科医生,让医生根据口内具体的情况,进行全口洁治或进一步的牙周治疗,若发现牙龈出血仍置之不理,炎症没有自限性,会进一步向下发展,出现牙周病,进而导致牙齿松动,随着牙齿松动度加大,最终牙齿会脱落。

  故建议大家定期口腔检查、口腔保健、定期全口洁治(每半年到一年一次),这样才能为拥有一口健康牙齿打下基础。