高端私人订制口腔医保定点单位 服务热线: 0577-88227777

李先生 牙龈疼痛并刷牙会流血

【发布时间:2019-12-08】

  患者,35岁 李先生 因大牙牙龈疼痛并刷牙会流血来诊

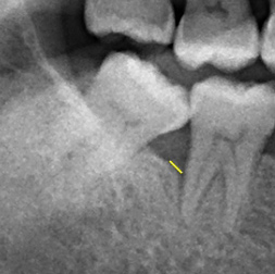
  检查:患有严重牙周病问题,牙结石堆积,右下第七颗大臼齿齿槽骨严重流失

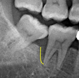
  处理:刮除深层牙结石,将牙齿表面及深藏在牙齿下的牙结石用器械刮除乾净之后,配合药物深入牙周囊袋做深层灭菌

  黑影区域为齿槽骨被牙结石及细菌严重侵蚀,齿槽骨被细菌侵蚀后的高度显示出骨头降低程度至牙根尖处。

  齿槽骨已长回80%,復塬状况良好齿槽骨内的骨头逐渐生长,骨头高度比治疗前高出甚多。

  医嘱:平时少吃辛辣刺激性食物,戒烟戒酒;注意口腔卫生,早晚正确刷牙,养成口腔护理的好习惯;定期復查,配合医生的医嘱。