高端私人订制口腔医保定点单位 服务热线: 0577-88227777

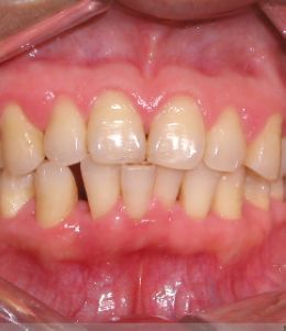
谢先生 牙槽骨重度吸收

【发布时间:2019-12-08】

  谢先生,是一名技术主管,因为工作的关系时常会加班加点,以烟为伴,之后回家倒头就睡,即使是刷牙也是马马虎虎。长期以来,谢先生就患上了牙周炎,起初没有什么症状,就没怎么在意,时间久了,出现疼痛、溢脓、口臭、牙齿松动等情况。

  蓝芽口腔给谢先生做了检查后,发现谢先生全口牙齿都出现松动,牙龈萎缩严重,牙槽骨重度吸收的情况。

  洁牙+分期牙周治疗

  蓝芽口腔表示牙周炎的治疗是一个系统的过程,特别是像谢先生这样严重的牙周炎。首先为谢先生做基础治疗,清除或控制临床炎症和咬致病因素,包括口腔自洁,龈上洁治,龈下刮治以清除菌斑,牙石,咬颌调整等。

  第二阶段为牙周手术治疗和松动牙固定。

  第三阶段为永久性修复治疗,手术后3个月后进行。

  手术后蓝芽口腔叮嘱谢先生一定要定期复查,每半年一次,包括检查菌斑控制情况,拍片检查,以进一步拟订修复计划。

  患牙临床症状消失,牙槽骨吸收得到控制。

  在妥善的诊疗下,谢先生的牙周状况得到了许多的改良,对蓝芽口腔主任医术称赞有加,更对蓝芽口腔医院服务表示十分满意。