高端私人订制口腔医保定点单位 服务热线: 0577-88227777

吴女士 牙周基础治疗及牙冠延长

【发布时间:2019-12-08】
  吴女士 牙周基础治疗及牙冠延长术案例

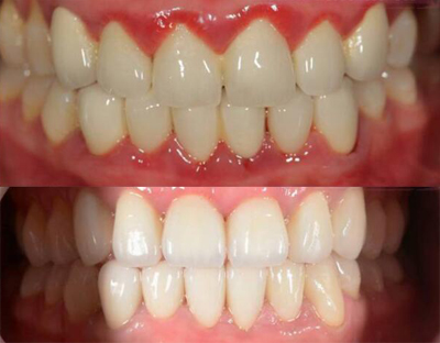
  25岁的吴女士3年前因上前牙不美观进行金属烤瓷牙修复,修复后一直有牙龈红肿出血及疼痛,多次洁牙及使用抗生素不管用...

  诊断:牙周炎

  方案:牙周基础治疗 牙冠延长术

  临床手记:

  25岁的吴女士,是一货运公司的董事局秘书长,身材高挑,外形靓丽,据她介绍经常需要担任集团贵宾接待及集团内部介绍讲解工作,深知健康亮白牙齿对自己的重要性。

  随公司业务发展,自感上前牙不够美观,于是做了金属烤瓷牙修复,但是修复后一直有牙龈红肿出血及疼痛,多次洁牙及使用抗生素不管用。



  近半年来,牙龈红肿现象一直没有缓解,不仅仅影响个人形象,还因疼痛对自信流畅说话产生困扰。想到一个半月后即将随董事长赴美参加业务洽谈,吴女士急切地通过朋友介绍找到了蓝芽口腔医院。

  经过详细的诊断,蓝芽口腔医院的医生为吴女士做了的牙周洁治,将牙周控制好,并在后期做了牙冠延长术。

  牙周基础治疗,牙冠延长术案例

  吴女士对术后的结果表示很满意,离开诊间时笑着表示“终于不用带着‘红色牙龈线’”上班啦!,当然工作更自信,从容淡定。