高端私人订制口腔医保定点单位 服务热线: 0577-88227777

青少年矫正把握黄金期 矫正效果事半功倍!

【发布时间:2019-12-08】

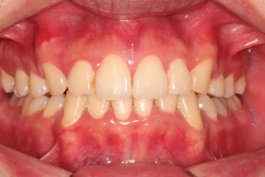
  家里有个12岁孩子的金妈妈近来很苦恼,每次趁着放假,带上孩子去户外活动增加感情留给纪念的时候,即便当时拍了很多照片,回来后孩子看着照片要求把有些照片一一删掉,原因就是孩子要么憋着嘴不笑,一笑、那些歪牙就展露无余,照片里显着孩子的拘谨和不自信。妈妈希望趁着孩子的矫正黄金期,矫正孩子的牙齿不齐,恢复牙齿咬合排列,并保持口腔健康状况,通过矫正牙齿的小小举动,恢复孩子的自信和笑容,让孩子能够健康成长。

  于是在温州蓝芽口腔,金妈妈带着孩子进行详细的口腔检查,拍X光,取分析模型,进行全面的综合分析,经温州蓝芽口腔得出正确的诊断和治疗计划,再根据孩子的情况制定矫正计划。

  医生表示:矫正完成下颌发育良好,面型极大改善,而前期给予的佩戴斜导的计划,在矫正中并没有用到,仅仅前期给予一定的二类牵引。患者处于生长发育高峰期,少量的外力刺激,就可促进患者生理性的发育,极大的减少了矫正的难度,把握生长发育潜力,充分利用生长高峰期可以达到事半功倍的效果。

矫正前

矫正中

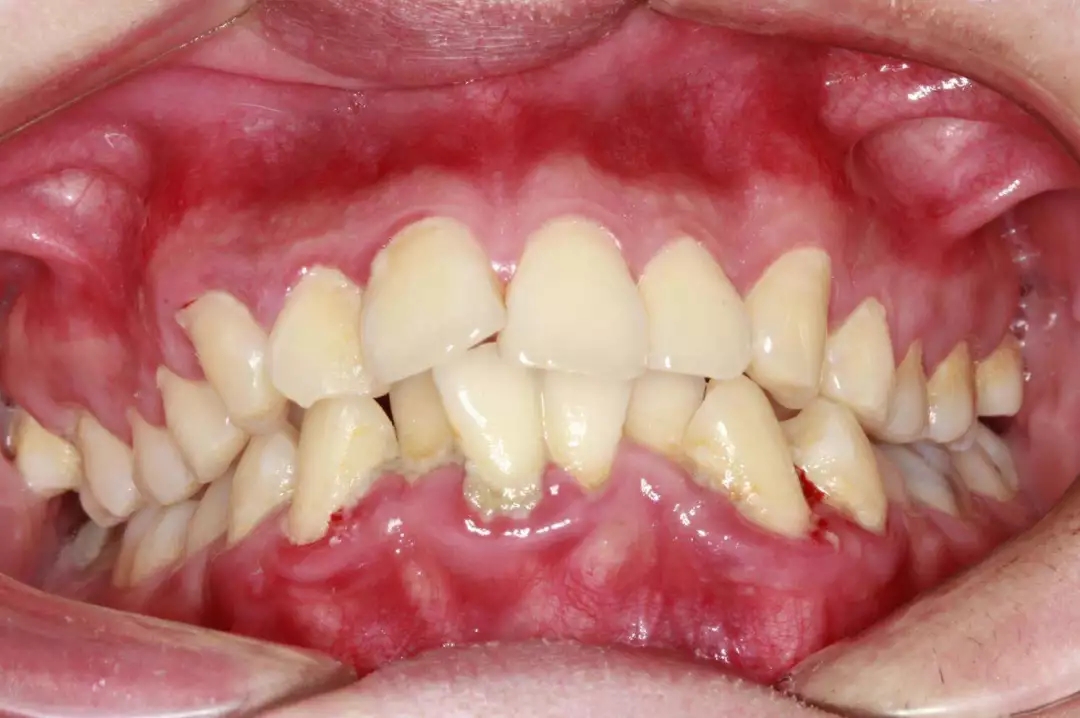
矫正后

  经过温州蓝芽口腔的专业牙齿正畸治疗,孩子各方面发生质的改变。有棱有角的面型,青春自信的微笑,牙齿整齐,口腔清新,牙龈散发出迷人的光彩,精气神完美的统一,这就是牙齿矫正的魅力所在。现在的金妈妈和孩子合照,一个是幸福的微笑,一个是自信的笑脸,而这彰显的都是家庭生活的美好。