高端私人订制口腔医保定点单位 服务热线: 0577-88227777

找回“丢失牙”跟说话漏风说再见

【发布时间:2019-12-08】

  温州市区37岁的张女士,是一个非常低调的小主管。因为前牙残根,影响美观,本该轮到自己升迁的她,却因觉得自己交流不变影响公司形象,亲自拒绝摆在面前晋升机会。其实很久前张女士就意识到自己在生活交友和上班交流都受到了一定的阻碍,无论是自身的介意,还是旁人的偶然的眼神状态,对自己的极度不自信,让她错失了很多展示自我的机会。趁着放年假的张女士,决心给自己一个改变,进行前牙种植修复。经相关了解医院背景资质和诊疗技术的了解,她来到全城大的全数字化口腔医院——温州蓝芽口腔。

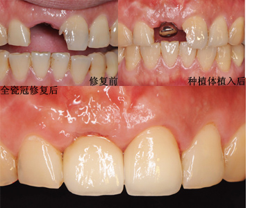
  经检查发现患者上前牙残根,并且口腔内伴随深龋穿髓,根尖阴影等口腔问题,和张女士商议后,建议先进行前牙种植修复,根管治疗深龋穿髓的牙齿,随后为前牙进行全瓷冠修复。

  【缺牙种植修复】

张女士修复前后对比效果

  张女士对修复效果感到很是满意,并表示可以享受自信享受大笑,不在为说话漏风而感到自卑的感觉真好!