高端私人订制口腔医保定点单位 服务热线: 0577-88227777

走路绊倒门牙修复

【发布时间:2019-12-08】

  20岁林同学走路绊倒门牙修复案例

  患者 20岁 林同学 因走路绊倒摔断门牙来诊

  检查:门牙折断,牙冠折损和伤到牙髓

  治疗计划:根管治疗

  处理:根管治疗后,加牙桩冠修復

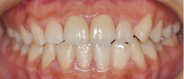
修复前

修复后

  医嘱:24小时内避免吃过热过冷等刺激性食物,避免用门牙咀嚼过硬的食物;少食用含色素类食物或饮料,如红酒、酱油、咖啡等,进食后要漱口;注意口腔卫生;根管充填后可能会出现不同程度的不适,属正常现象,如无明显肿痛,轻度的不适会在治疗2~3天后消失。