高端私人订制口腔医保定点单位 服务热线: 0577-88227777

治疗牙周炎大概要多长时间

【发布时间:2019-12-07】

  治疗牙周炎大概要多长时间

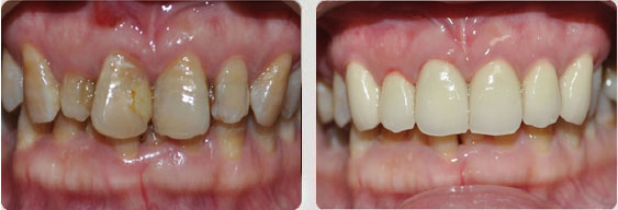
  牙周炎是一种对口腔牙齿以及牙周危害很大的口腔疾病,对于牙周炎来说,一般主要的治疗方法以牙周基础治疗和牙周手术治疗为主,主要的治疗时间其实还是要看患者具体的口腔情况以及治疗过程中的恢复情况,不过需要说的是,牙周炎的治疗是一个长期的过程,除了医院处理的部分外,很多时候还需要患者自身的调养,下面就来大概的介绍一下,希望对大家有帮助。

  一、牙周基础治疗

  牙周基础治疗是治疗牙周炎的重要步骤,主要包括进行洁治、刮治、根面平整等以清除龈上、龈下的菌斑,牙石及坏死牙骨质。必要时进行松动牙暂时性固定、调合、药物辅助治 疗。这一阶段的任务是消除局部致病因素,加强患者意识。一般前后少则要半个月的时间,多的话要一个月甚至更长

  二、手术治疗

  1、在牙周基础治疗后2-3个月对牙周状况再评估,若探针出血或者牙龈及牙槽骨形态不良,则需要进行手术治疗。

  2、牙周手术不但可在直视下进行彻底的根面平整,清除感染组织,还可以纠正不良的牙龈外形、不良牙槽骨形态、根分叉病变,并可进行牙周组织的再生性治疗。

  3、牙周炎的修复和正畸治疗是在牙周基础治疗的基础上,改善患牙的松动、移位及咀嚼无力等症状。一般这一阶段前后至少需要三个月的时间。

  经过这两阶段的治疗,患者的牙周会得到基本的控制,但是患者还不能松懈需要进行日常的护理调养,详情可直接在线客服。