【患者病例】
年龄:32岁
牙齿问题:门牙缺失
治疗方案:种植修复点击了解方案
【病例详细情况】
患者陈女士,女性。门牙缺失已经多年,曾经进行过烤瓷牙修复,但是几年后由于烤瓷桥脱落,无法继续使用,故想进行种植牙修复,经人介绍来到温州蓝芽口腔。
【商议治疗方案】
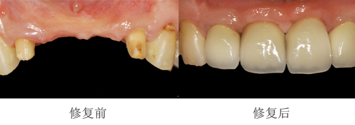
温州蓝芽口腔医生为其进行治疗,检查发现患者的两个大门牙缺失,两个小门牙已经被磨小。缺牙区牙槽骨有一定程度的吸收。治疗前经过沟通,我们为她进行了两个大门牙的种植手术和植骨术,四个月后,先进行了临时冠修复,进行牙龈的成形。
【美容修复治疗】
然后进行了烤瓷冠修复,以下为治疗前后对比图:
