高端私人订制口腔医保定点单位 服务热线: 0577-88227777

瓷贴面修复案例

【发布时间:2019-12-08】

  瓷贴面修复

  姓名:王女士

  年龄:26岁

  职业:公司职员

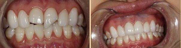
  症状:门牙磕断

  治疗方案:瓷贴面修复

  今年26岁的王女士是温州某公司的行政人员,在公司里同事们都称她“冰美人”。长相清秀、身材高挑的她平时很少笑,同事们都以为她是性情冷漠的人,其实大家不知道王女士也有自己的苦衷。

  一口洁白整齐的牙齿,才能有灿烂的笑容。因为王女士的两颗门牙不太整齐,很影响美观,之前说要做牙齿矫正的,但是因为工作忙一直没有去。前几天因为一个小的交通事故,让王女士更是雪上加霜。原本就不整齐的门牙又被磕掉了一块,这可怎么办呢?

  王女士来到温州蓝芽口腔寻求帮助。经过详细的检查,修复医生建议她做瓷贴面修复。瓷贴面是指在不磨牙或少磨牙的情况下,应用粘接材料,将薄层瓷修复体固定于患牙唇、颊面,以恢复影响美观的缺损、遮盖变色等缺陷的一种修复方法。

  经过和周女生的沟通,共同制定了切实可行的修复方案。修复大夫指出,瓷贴面既避免了树脂修复抗老化性能差的问题,又避免了全冠修复备牙量偏大的问题。贴面修复后与邻牙颜色匹配,恢复功能良好。经过瓷贴面修复,王女士终于露出了自信的笑容,同事们都是,“冰美人”还是笑起来更美!

  最后,温州蓝芽口腔提醒大家注意:瓷贴面修复后应尽量避免用其切割坚韧食物,以预防修复体受损。而且还应作好每天的口腔清洁,如:用牙线清洁等,以预防牙龈发炎。如果牙齿有问题,要及时到医院复诊检查。